インビザライン|豊中クローバー歯科・矯正歯科

インビザラインシステムとは、透明なマウスピース型の装置を使用して歯並びを治す歯科矯正方法です。
従来のワイヤー矯正とは異なり、取り外し可能で、透明であるため、装着していることに気付かれることはほとんどありません。

インビザラインシステムは世界100か国以上で提供されています。
Feature:01
インビザラインのマウスピースは透明で厚みも約0.5mmと薄いため、装着していても気付かれにくいのが特徴です。
通常のワイヤー矯正と比較し、見た目でストレスを感じることがありません。
Feature:02
自由に取り外しが出来るため、お食事や歯みがきを今までと同様に行うことが出来ます。
Feature:03
従来のワイヤーとブラケットを使った矯正では、ブラケットの周りに汚れや食べかすなどが溜まりやすく、お口のケアが難しい傾向にありました。
しかし、インビザラインは取り外し出来るため、矯正以前と同様のケアが可能なため、お口を清潔に保ちやすいです。
Feature:04
ワイヤー矯正の場合は締め付けられる痛みや、金具が唇や頬に当たって出来る口内炎の痛みなどがありますが、インビザラインを使った矯正では、そのような心配はありません。
また、マウスピースを用いた矯正では比較的短期間でマウスピースを交換していくため、1枚のマウスピースで歯を動かす距離が短いため、ワイヤー矯正に比べ痛みが出にくいのが特徴です。
Feature:05
インビザラインでは金属を使用しないため、金属アレルギーの心配がありません。
Feature:06
3Dスキャナーによる印象を採取するため、お口の中を正確に把握することが出来るため、精度の高い治療が可能です。
また、3Dシミュレーションにより治療前に治療後の予想図が見れるので安心です。
Feature:07
マウスピース矯正はワイヤー矯正と比較して適応症例に限りがありますが、マウスピース矯正の中でも『インビザライン』は特に適応範囲が広いの特徴です。


インビザラインには年間の症例数によって認定されるプロバイダーという制度があり、当院は「レッドダイヤモンドプロバイダー」の医院です。
インビザラインプロバイダーにはランクがあり、当院はその最高位であるレッドダイヤモンドプロバイダーに6年連続で認定されている医院です。
また、累計12,000以上の治療実績があり、これはアジア・オセアニア地域第2位実績となっております。
クリンチェックをいうソフトを用い、効率的に歯を動かせるよう、精密に治療計画を立てます。
また、PBMヒーリングという光加速装置(お口の中に遠赤外線を当てることで歯の移動を加速させます)で治療期間を短縮することが出来ます。(費用別途)
また、PBMヒーリングには治療期間の短縮の他、歯茎の状態を改善すると共に矯正中の痛みを和らげるなどの効果も期待出来ます。

ご希望であれば、可能な限り抜歯をせずに治療をいたします。

最善の治療を受けていただくために、当院ではセカンドオピニオンを積極的に承っております。

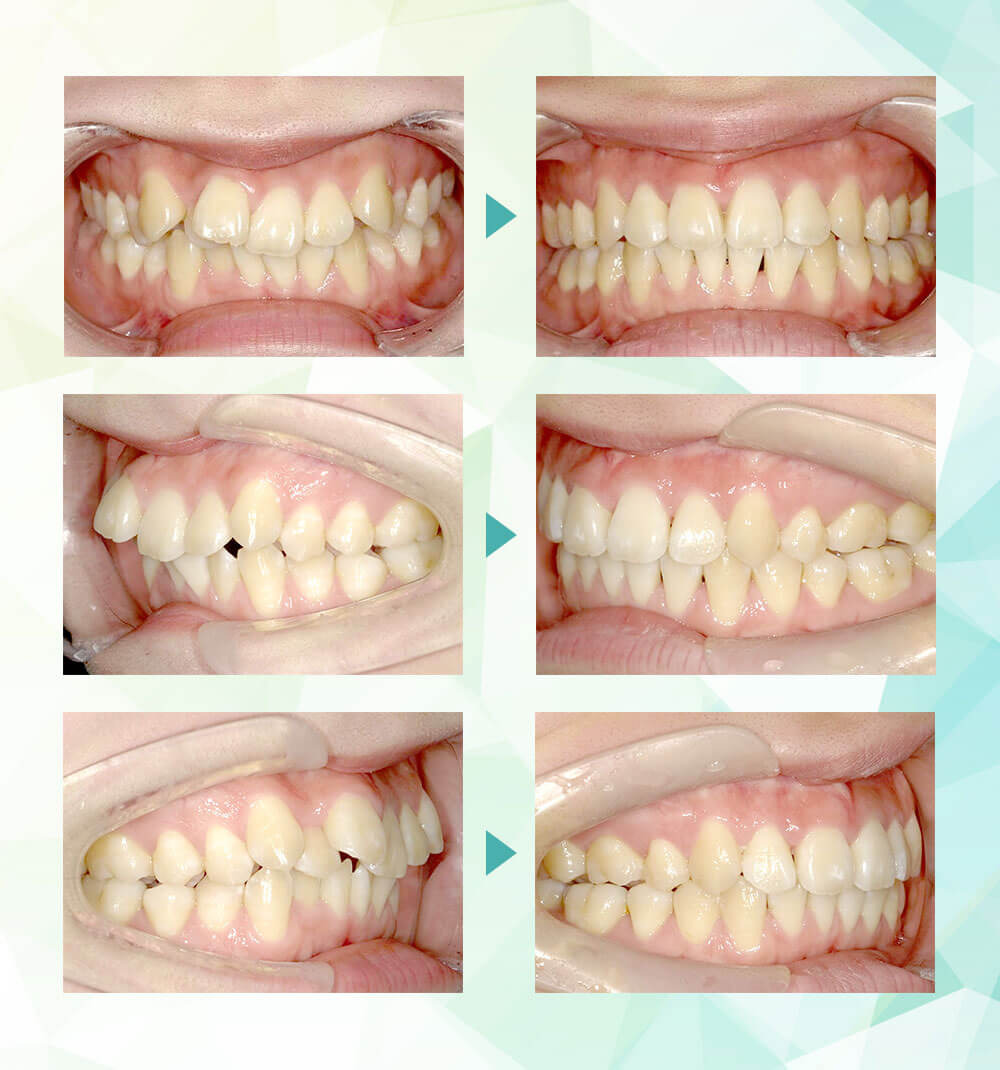
インビザライン治療の症例写真をご紹介します。
※症例紹介の費用は掲載時点の金額です。治療費用は改定される場合がありますので、最新の料金はお問い合わせください。

【治療内容】八重歯(叢生)の患者さんです。インビザラインを装着し歯並びを治しました。
【費用】インビザライン 790,000円(税抜)~
【リスク】インビザラインを1日22時間入れなければいけないため、ちゃんと入れていただけない方はちゃんと治療が進みません。

【治療内容】かみ合わせが深い過蓋咬合の患者さんです。インビザラインを装着し歯並びを治しました。
【費用】インビザライン 790,000円(税抜)~
【リスク】インビザラインを1日22時間入れなければいけないため、ちゃんと入れていただけない方はちゃんと治療が進みません。

【治療内容】八重歯(叢生)の患者さんです。インビザラインを装着し歯並びを治しました。
【費用】インビザライン 790,000円(税抜)~
【リスク】インビザラインを1日22時間入れなければいけないため、ちゃんと入れていただけない方はちゃんと治療が進みません。

インビザラインは多くの歯並びの改善に対応できますが、症例によっては治療が難しい場合もあります。特に大きな歯の移動や複雑な噛み合わせの場合は、ワイヤー矯正の方が適していることもあります。まずは無料相談で、お口の状態に合わせた最適な治療方法をご提案いたします。

インビザラインの治療期間は、歯の状態によって異なります。全顎矯正であれば1年半~3年程度、部分矯正では6か月~1年半程度が目安です。初回相談時に、患者さんの状態に合わせたおおよその治療期間目安をご案内いたします。

はい、マウスピースは食事中や歯磨きのときには外すことが可能です。装着したまま飲食すると変形や汚れの原因になるので注意が必要です。歯磨きの後、清潔な状態で装着することで虫歯や歯周病を防ぐことができます。

インビザラインの場合、通院は通常1~2か月に1回程度です。通院時には歯の動きの確認や新しいマウスピースの受け取り、必要に応じた調整を行います。患者さんの治療計画に応じて、最適な通院スケジュールをご案内します。

インビザラインの相談は無料で承っております。歯並びや噛み合わせの状態を確認し、治療の必要性や方法、期間、費用の目安をご説明いたします。無理に治療を勧めることはありませんので、まずはお気軽にご相談ください。