 
	

・矯正したいけれど、矯正装置が口元から覗くのが気になる
・矯正をしていることを周りに気付かれたくない
こんなお悩みを抱えていませんか?
一般的なワイヤー矯正では歯の表側に装着するブラケットとワイヤーを、裏側矯正ではその名の通り、歯の裏側に装着します。
歯の裏側(舌側)に装着するので、周りに気付かれずに矯正治療を受けることが出来ます。
裏側矯正は「舌側矯正」や「リンガル矯正」と呼ばれることもあります。
裏側矯正と通常の矯正に違いについてご説明します。
| 通常の矯正 | 裏側矯正 | |
|---|---|---|
|  |  | |
| 見た目 | 歯の表側に矯正装置をつけるため、目立ちます。(白いワイヤーとブラケットを用いたホワイトワイヤー矯正は比較的目立ちにくい) | 歯の裏側に矯正装置をつけるため、表からはほとんど見えません。 | 
| 適応症例 | ほぼすべての不正咬合(悪い歯並び)に適用可能です。 | |
| 仕上がり | 仕上がりに大差はありません。 | |
| 口内炎 | 表側に装置を着けるので、頬や唇に口内炎が出来やすくなります。(歯科用ワックス(保護剤)で対応可能) | 裏側に装置を着けるので、舌に口内炎が出来やすくなります。(歯科用ワックス(保護剤)で対応可能) | 
| 発音のしにくさ | 発音への影響はほとんどありません。 | 舌側に装置が着くので装置を着け始めの頃は違和感や発音のしにくさを感じることがありますが、しばらくすると慣れます。 | 
| 痛み | 裏側矯正とほぼ変わりはありません。調整後の痛みのピークは2〜3日です。 | 通常の矯正と比べ強い力がかかるため、痛みを感じやすいことがあります。通常の矯正と同じく、調整後の痛みは2〜3日です。 | 
| お食事 | 当初は痛みのため固い物が食べにくいですが、一か月程度で慣れます。 | 当初は痛みのため固い物・柔らかい物が食べにくいですが、一か月程度で慣れます。 | 
| 虫歯のリスク | 上手に歯磨きが出来なければ虫歯になるリスクがあります。 | 装置が歯の裏側に着いているため、歯磨きが難しくなりますが、唾液に常にさらされているので、自浄作用により比較的虫歯になりにくいと言われています。 | 
| 費用 | 裏側矯正に比べて安価。審美性に優れたホワイトワイヤー矯正だと費用が上がります。 | 通常の矯正に比べて難易度が高く、技術力が必要な上、オーダーメイドの装置の製作に時間と手間がかかるため費用が上がります。 | 
裏側矯正の最大のメリットは、歯の裏側に矯正装置を装着することにより、矯正装置が見えることがなく、人に気付かれることなく矯正を行うことが出来ることです。

豊中クローバー歯科の
矯正歯科の特徴
クローバー歯科豊中駅前院、豊中駅前院アネックス、豊中本町院とも、阪急豊中駅から徒歩数分の好立地。
アクセス良好で通いやすいのが特徴です。

提携駐車場を完備しているので、お車でお越しいただくのにも大変便利です。

2024年度の初診患者数は8204人。(医療法人真摯会全体での実績)
歯科医師がどのくらいの症例数を診てきたかは、より良い治療を受けるための指標のひとつとなります。
症例数が多いと様々な症例に対応出来るのはもちろん、患者様がどのようなお悩みを持たれているかなどを汲み取ることが出来ます。
症例数が豊富な当院に安心してお任せください。

当院では初回無料のカウンセリングを行っております。
カウンセリングでは、ゆっくり時間をかけて患者様のご要望やお悩みをお伺いし、患者様にとってベストな治療法をご提案します。
もちろん、メリットだけでなくデメリットについてもきちんとご説明し、納得いただいた上で治療を受けていただけるようこころがけております。

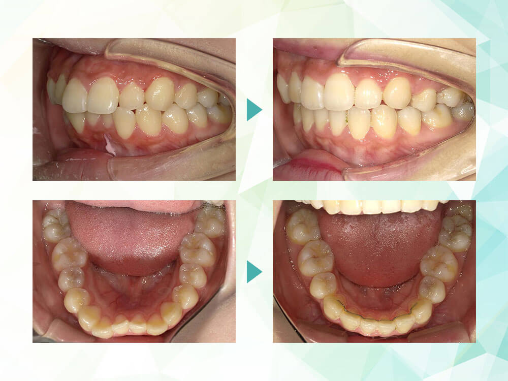
裏側矯正の症例をご紹介します。
※症例紹介の費用は掲載時点の金額です。治療費用は改定される場合がありますので、最新の料金はお問い合わせください。

【治療内容】上顎の部分矯正を行った患者様。期間は6ヵ月でした。
【費用】裏側矯正による部分矯正 490,000円(税抜)〜
【リスク】装置をつけると最初は少し痛くて、発音しづらい。

【治療内容】叢生(八重歯)の患者さんの歯並びを治しました。
【費用】裏側矯正(コンビネーション) 1,120,000円(税抜)〜
【リスク】装置をつけると最初は少し痛くて、発音しづらい。

【治療内容】上下の歯が出ている上下前突の患者さんの歯並びを治しました。
【費用】裏側矯正(コンビネーション) 1,120,000円(税抜)〜
【リスク】装置をつけると最初は少し痛くて、発音しづらい。
患者様の歯並びや顎、お口の状態を拝見します。
お悩みやご要望をお聞きし、裏側矯正も含め、ベストな治療方法をご提案します。
無料ですので、裏側矯正はもちろん、矯正全般に関する不安ごとや疑問などをお気軽にご相談ください。

精密検査
・様々な角度からの写真撮影
・歯型・噛み合わせなど口腔内デジタルデータの取得
など、必要な精密検査を行います。(レントゲンは必要に応じて撮影します)
治療を受けるかどうかその場で決める必要はありません。ご自宅でゆっくりとご検討ください。
\ 無料初診カウンセリングはこちらから /
診断結果や歯型を元に、矯正装置を製作します。
矯正装置は、歯にフィットする精密な作りで、オーダーメイドで製作されます。

出来上がった矯正装置を取り付けたら、いよいよ治療スタートです。
矯正装置は目立たず、装着していることを気付かれることはほぼありません。

治療開始後は約一か月ごとにご来院いただきます。
定期的な診察で、歯の移動の度合い、口腔内の様子を確認し、ワイヤーの交換や調整を行います。
            痛みや違和感などがある場合は遠慮なくご相談ください。

矯正治療が終了した後も、歯は元に戻ろうとします。
            そのため、治療終了後もきれいな歯並びを保つために保定装置を装着して後戻りを防止します。

A:月に1回程度の通院で1〜3年間の期間が目安となります。
A:裏側矯正で起こる活舌の悪さには個人差があります。
慣れるまでの期間も個人差が大きく、数週間かかる方もいます。ですが、1〜2週間で慣れる方が多いです。
A:矯正装置が擦れることにより生じる舌の痛みは、一か月くらいで治まることがほとんどです。
徐々に粘膜が刺激に慣れていきます。